Considering Jungkook's personality, it seems that ARMYs also understand most of them because they have witnessed the formation of his personality from the age of 15-16. But analyzing the personality expressed by the type of teeth is probably the first time some people have heard of this.
It was a study by a British dentist that showed that teeth can reflect more about a person, typically a person's personality. It's interesting that the teeth that we only use to grind food can do so many things.
So, to dispel the curiosity, let's try to analyze how Jungkook's letters represent who he is below:
Can a book really be judged by its cover? Some people believe that everything from facial features to clothes and hairstyles can reveal surprising details about our personalities.
We can also clearly see some personality traits if we just judge the appearance. For example, the fact that Jungkook likes to wear loose, minimalist styles and favors black shows that he loves simplicity, comfort and not too fussy in life habits.

But those are not the only superficial features we can consider. According to cosmetic dentist Dr Sahil Patel, expert and founder of Marylebone Smile Clinic in London, UK, teeth can also reveal a lot about us, especially reflecting our inner personality.
It is even similar to how the slant of the nose or the fullness of the lips shows the nature of a person. Sounds very interesting right? Moreover, it is not difficult to analyze a person's tooth pattern through observing and deciphering it with the analysis of Dr.
Specifically, first to analyze our personality based on the shape of our teeth, Dr. Patel categorizes tooth types into four categories:
Squoval (square oval)…
.png)
…Oval…
.png)
…square…
.png)
…and triangular.
.png)
Next, he also considers other unique features such as pointed canines, wḧïẗe spots, irregular edges, grooves and incisors to complement a more detailed personality analysis.
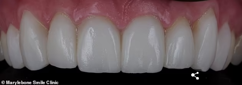
Jungkook's teeth, affectionately known as "rabbit" teeth by fans, can be clαѕѕified as oval. According to Dr. Patel, oval teeth radiate "feminine" and "youthful" energy.

Femininity is also understood as the tendency to be gentle and polite in men. This suits Jungkook as he is always gentle and cute towards those around him while youthful energy is evident in the youngest maknae of the group. Even though Jungkook has grown to be a 27 year old man, he still has his child-like aspects.
Following this, Patel's analysis also revealed that Jungkook's oval tooth pattern “impute a carefree, positive, and outgoing personality". That certainly sounds a bit like him but not 100%. Typically, Jungkook is not too sensitive and has many complicated thoughts to make his life messy.
Jungkook always looks at things positively and finds a solution to every problem and because of that, his personality is always positive and bright. However, Jungkook is not the extrovert type but he is "extroverted" under certain circumstances because he is a public figure. Meanwhile, Jungkook has a penchant for being a recluse in his private life and his circle of friends shows it too.

Overall, personality analysis through teeth may or may not be true, but it provides a new and exciting experience for all of us. You can also try it because it's not too difficult and the results are pretty good, like for Jungkook's teeth!






